In response to recent COVID-19 concerns, we are adopting new protocols and using new systems to ensure the safety of our staff and patients. Read More

Contact Us
Close
×

(401) 463-8170

Patient Portal
Menu
  • Home
  • Our Response to COVID-19
  • Staff
  • Our Offices
  • Services
    • Cosmetic Dentistry
    • Digital Dentistry
    • Emergency Services
    • Restorative Dentistry
    • Implants
    • Invisalign
    • Occlusal Therapy
    • Periodontal Maintenance
    • Preventive Services
  • Patient Education
    • Cavity Prevention
    • Crown and Bridge
    • Dental Emergencies
    • Fillings
    • Endodontic Therapy
    • Implants
    • Oral Health
    • Periodontal Therapy
    • Removable Dentures
    • Tooth Wear
  • New Patients
  • Contact Us
  • Appointment Request
  • Testimonials

Gooding Dental Health

Periodontal Therapy

Routine dental cleanings and periodontal maintenance procedures are an essential part of maintaining a healthy oral environment.  Keeping up to date with regular dental check ups in combination with proper at home hygiene care increases chances of patients keeping their natural teeth for life.

Probing

probing

During a regular hygiene visit, the hygienist may perform examinations to check the health of the gums in addition to the cleaning, or prophylaxis.  These exams involve probing the gums to check for pocket depths.  Pocket depth, the distance alongside a tooth between the top of the gums and the top of the bone, is an indicator for healthy or diseased gums.   While this process may be recognized by patients as “poking the gums”, it is an essential procedure for the hygienist to perform routinely to properly assess the health of the gums and other periodontal (tooth bone) tissues.  Probing can reveal information about the gums that may not otherwise be visible.  Deep pocket depths can be an indication that gums, and other periodontal tissues, are infected and require more advanced periodontal therapy.  When probing, the hygienist can also check and measure any gingival recession that may be present.  Recession can be another sign of diseased gums, or an indication that other biological processes or habits are affecting the appearance and health of the periodontal tissues.


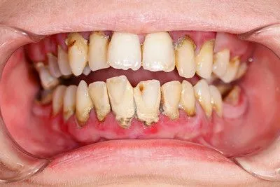
Plaque & Calculus

plaque

Infection and inflammation of the gums, also known as gingivitis, arises when plaque and calculus are not removed from tooth surfaces.  Plaque is a sticky film of bacteria that adheres to teeth throughout the day and after eating.   Plaque is soft and can be removed through proper at home hygiene techniques, such as brushing and flossing.  When left on teeth for too long, it can harden and form deposits, called calculus.  Calculus can form above or beneath the gums — in pockets — and may only be detectable through x-rays or probing exams.  Once calculus forms, it can only be removed through professional dental cleanings and can lead to serious issues if left unchecked.


Periodontal Disease

Gingivitis causes the gums to be red, irritated, painful, prone to bleeding, and is a precursor for a more serious disease, called periodontitis.  Periodontitis is the presence of disease within the gums and bone tissue surrounding teeth.  When the bone surrounding teeth becomes infected, it recedes and can lead to tooth mobility and tooth loss if not addressed.  Both gingivitis and periodontitis are completely preventable diseases with proper brushing and flossing and routine dental visits.

Scaling & Root Planing and Periodontal Maintenance

calculus If patients have been diagnosed with gingivitis or periodontitis, or are prone to heavy calculus build up, the dentist may recommend they have a scaling and root planing procedure.  Scaling and root planing, commonly referred to as a deep cleaning, is a process where the hygienist removes hard calculus deposits that have formed along or beneath the gumline.  These deposits can often be hidden from the naked eye, but can dramatically increase the progression of gum disease.  

During this procedure, the doctor may numb the area being worked on with local anesthetic to allow the hygienist to remove deposits deep beneath the gum tissue without causing discomfort to the patient.  Depending on the amount of build up present, these procedures may be done in sections, or quadrants, of the mouth to ensure each area is completely free of calculus.  For patients that have been diagnosed with gum disease, or who have had scaling and root planing procedures in the past, the dentist will recommend they have routine periodontal maintenance therapy instead of regular dental cleanings, or prophylaxis.

Regular dental visits, probing exams, dental x-rays, and proper at home hygiene are essential to maintaining a healthy mouth and the doctor's ability to properly diagnose and manage disease.

  • Cavity Prevention
  • Crown and Bridge
  • fillings
  • Endodontic Therapy
  • Dental Emergencies
  • Implants
  • Oral Health
  • Periodontal Therapy
  • Removable Dentures
  • Tooth Wear
  • Clear Aligners

Our Location

Find us on the map

Hours of Operation

Our Regular Schedule

Warwick

Monday:

8:00 am-5:00 pm

Tuesday:

8:00 am-5:00 pm

Wednesday:

Closed

Thursday:

8:00 am-5:00 pm

Friday:

8:00 am-5:00 pm

Saturday:

Closed

Sunday:

Closed

Wakefield

Monday:

Closed

Tuesday:

Closed

Wednesday:

8:00 am-2:00 pm

Thursday:

Closed

Friday:

Closed

Saturday:

8:00 am-1:00 pm

Sunday:

Closed

Gooding Dental Health

  • Copyright © 2026 MH Sub I, LLC dba Officite.
  • Admin Log In
  • Site Map